Performed First Retrolabyrinthine Hearing Preservation Acoustic Neuroma Surgery in NATO Military Hospital in Central Poland
- Jovana Cosic
- Dec 1, 2025
- 1 min read
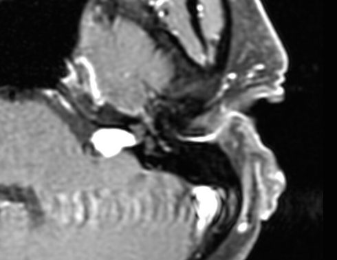
Dr. Fishman lead a team of surgeons from the NATO Military Hospital in Bydgoszcz Poland to perform the first hearing preservation acoustic neuroma removal by the novel “Retrolabyrinthine Approach”. The surgery was performed by doctors and nurses in the NATO regional hospital and the team was successful in completely removing the tumor and preserving both hearing and facial function in the young patient.




